Welpen sind unterwegs

Von Thomas Bez am 23.04.2014, mit fünf Kommentaren

Weblog Barnimer Land </weblog/Barnim>

 


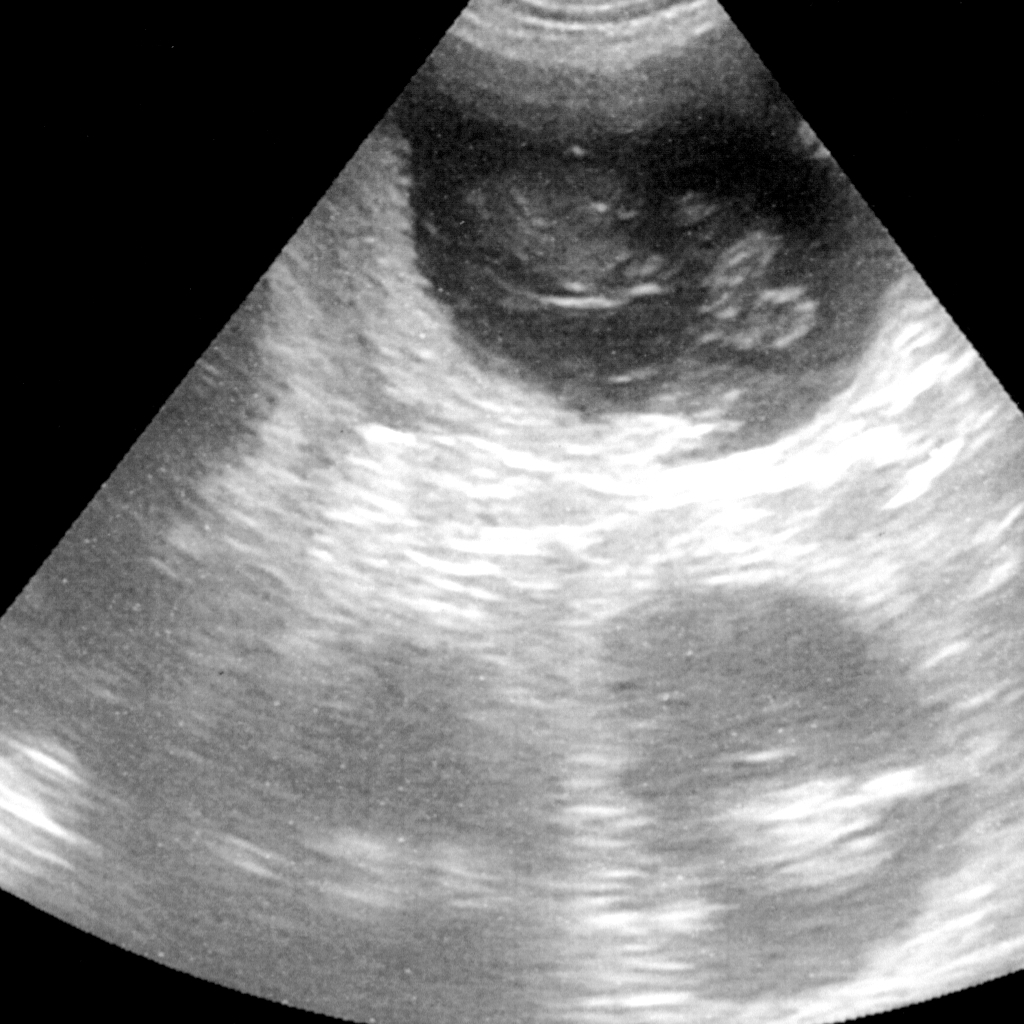
Ende Mai wird es wieder Zeit für Welpen bei uns. Bei Clarissa ließen sich heute vier im Ultraschall zählen, aber es ist ja bekannt, daß es auch deutlich mehr werden können.

Hier sieht man nur einen. Als die Tierärztin einmal drei gleichzeitig auf dem Schirm hatte, war das Entzücken so groß, daß sie leider vergessen hat, das Knöpfchen zu drücken.

 

Kommentar von am 23.04.2014 20:31:

Wir freuen uns seeeehr für Euch u verfolgen mit Spannung das Weblog! Nun puschelt der werdenden Mama das Bäuchlein... Wir hören uns..;)

Kommentar von am 23.04.2014 21:29:

..wir finden WIR brauchen hier auch den GEFÄLLT MIR Button ;)

Kommentar von am 30.04.2014 11:05:

Das ist schön! Drücken Daumen und Pfoten für einen gesunden Wurf.Lg

Kommentar von Thomas Bez am 03.05.2014 12:54:


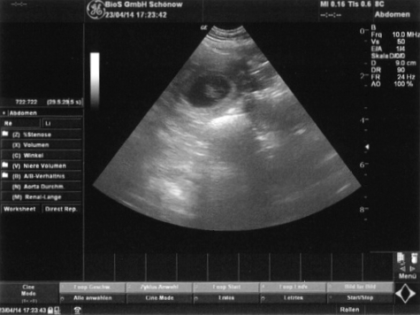
Heute, am 34. Tag nach der Deckung, haben wir zur Kontrolle nochmals ein Sonogramm machen lassen. Es waren noch mehr Echos zu sehen als beim letzten Mal, aber wieviele genau, war nicht auszumachen. Hier auf dem Bild sieht man jedenfalls drei in gutem Entwicklungsstand.