Clarissas dritter Wurf

Von Thomas Bez am 19.07.2015

Weblog Barnimer Land </weblog/Barnim>

 


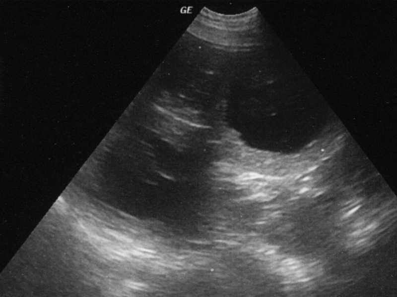
Unser achter Wurf, Clarissas dritter, diesmal mit Fausto vom Wälkesberg, wird Mitte August erwartet. Sechs Welpen meinte die Tierärztin sehen zu können, die Milz verstellte die Aussicht auf möglicherweise noch mehr. Wir erkennen nur zwei Fruchtblasen auf dem Schnappschuß und nicht einmal die Milz können wir ausmachen, aber wir wollen ihr glauben.

Fauve Briard-Welpen werden also im Oktober abzugeben sein. Die traditionall schönen Tage Anfang Oktober eingerechnet, können wir uns also wieder über einen Sommerwurf freuen mit Großem Zirkus im Garten ab September.